888-333-3731
  • Call
  • Find a Dentist

Smile Source Signature Dental Care

  • Home
  • Find a Dentist
  • Patient Care
    • Advanced Dental Care
    • Dedicated Personal Care
    • Insurance Information
  • Dental Services
    • General Dentistry
    • Preventative Dentistry
    • Cosmetic Dentistry
    • Crowns & Bridgework
    • Dental Implants
    • Dentures & Partials
    • Sleep Apnea & Snoring
    • Teeth Grinding Relief
    • TMJ Therapy
  • Treatments
  • Blog
  • About

Types of Dental Careers

April 15, 2000

What does a career in dentistry look like?...

Read More Author: Smile Source

What Builds a Healthy Smile?

April 30, 2000

We all know how important daily brushing and flossing are to a growing...

Read More Author: Smile Source
Dental Care For Baby Teeth

Dental Care For Baby Teeth

March 20, 2019

The smile of a happy child is one of the best things in the world....

Read More Author: Smile Source
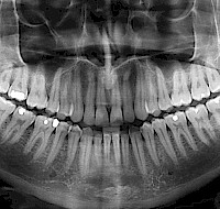
Dental X-Rays: It’s Time For Your Close-Up

Dental X-Rays: It’s Time For Your Close-Up

March 13, 2019

If we asked you to list three things that happen in a typical dental exam,...

Read More Author: Smile Source
Canker Sores: Causes And Treatment

Canker Sores: Causes And Treatment

March 6, 2019

Have you ever tried to enjoy one of your favorite foods, but that angry,...

Read More Author: Smile Source
Straight Teeth: Not Just About Looks

Straight Teeth: Not Just About Looks

February 27, 2019

The most obvious impact of orthodontic treatment is a straighter, more...

Read More Author: Smile Source
The Effects Of Pregnancy On Oral Health

The Effects Of Pregnancy On Oral Health

February 20, 2019

You can always expect your body to go through a lot of changes when...

Read More Author: Smile Source
Root Canal Myths: Busted

Root Canal Myths: Busted

February 13, 2019

Have you ever heard someone begin a sentence “I’d rather have a root...

Read More Author: Smile Source
  • ← Prev
  • 1
  • 2
  • 3
  • 4
  • 5
  • 6
  • 7
  • 8
  • …
  • 18
  • Next →

Page 2 of 18

Categories

  • Dental Tips

“Such a wonderful experience every single time. They're friendly, informative, and professional. They're also extremely good with kids.”

Stephen B.
  • Twitter
  • Facebook
  • YouTube
  • LinkedIn

Contact Us

Phone Number

888-333-3731

From the Blog

  • Tips for Parents With Teething Toddlers

    5/21/00
  • Diabetes and Dental Health

    11/5/00
  • Tooth Sensitivity: Causes and Treatments

    1/14/00
  • Our Favorite Quotes About Smiling

    4/18/00

Quick Links

  • Home
  • Find a Dentist
  • Patient Care
  • Dental Services
  • Treatments
  • Blog
  • About
  • Twitter
  • Facebook
  • YouTube
  • LinkedIn
SmileSource

Copyright © 2025 . All rights reserved.

Privacy Policy / Website by Avelient.

  • Home
  • Find a Dentist
  • Patient Care
    • Advanced Dental Care
    • Dedicated Personal Care
    • Insurance Information
  • Dental Services
    • General Dentistry
    • Preventative Dentistry
    • Cosmetic Dentistry
    • Crowns & Bridgework
    • Dental Implants
    • Dentures & Partials
    • Sleep Apnea & Snoring
    • Teeth Grinding Relief
    • TMJ Therapy
  • Treatments
  • Blog
  • About